El Plenario de Secretarios Generales de la federación que representa a los y las docentes de universidades volvió a reclamar la apertura de paritarias ante una caída del 52% de la capacidad adquisitva.
El desarrollo junto a la startup biotecnológica Crofabiotech es clave para la generación de órganos compatibles para ser transplantados en humanos. Avance sin precedentes a nivel regional.
Un informe del Observatorio Social, Político y Económico de la Universidad Nacional de Tierra del Fuego (UNTdF) señaló que el 74% de los docentes de universidades tiene trabajos extrauniversitarios.
El Plenario de Secretarios Generales de la federación que representa a los y las docentes de universidades volvió a reclamar la apertura de paritarias ante una caída del 52% de la capacidad adquisitva.
El Juzgado en lo Contencioso Administrativo N°2 de San Martín ordenó dar marcha atrás con la resolución 42/26 del organismo científico que dejaba en la calle a unos 700 técnicos, profesionales, administrativos y especialistas.
El Plenario de Secretarios Generales de la federación que representa a los y las docentes de universidades volvió a reclamar la apertura de paritarias ante una caída del 52% de la capacidad adquisitva.
El Juzgado en lo Contencioso Administrativo N°2 de San Martín ordenó dar marcha atrás con la resolución 42/26 del organismo científico que dejaba en la calle a unos 700 técnicos, profesionales, administrativos y especialistas.
Había sido entregado a la Universidad Nacional de Tres de Febrero en 2023. La Agencia de Administración de Bienes del Estado se lo quitó y lo usarán para desarrollos inmobiliarios.
El Sindicato de Farmacéuticos y Bioquímicos (SAFyB) denunció penalmente al ministro de Desregulación del Estado, Federico Sturzenegger. "Es clara su inhabilidad para estar en un ministerio si no cumple con las leyes vigentes".
Un equipo de investigadores de la Facultad de Medicina de la UBA trabaja en una estrategia que busca fortalecer la respuesta inmunológica frente a la bacteria que provoca la enfermedad.
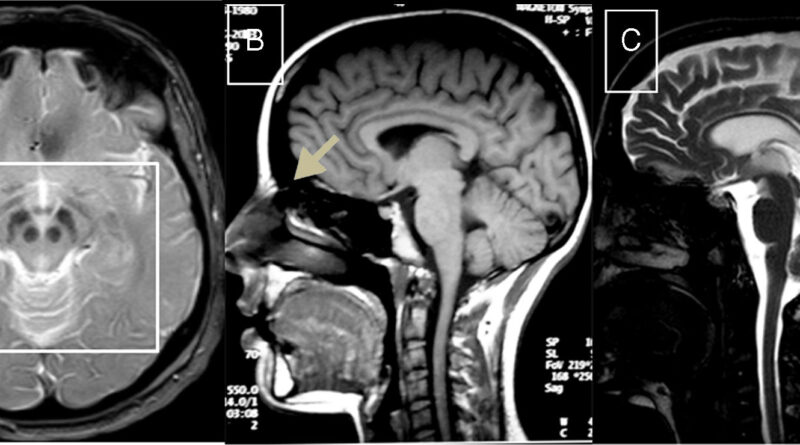
La investigación busca aportar nuevas claves para el entendimiento y tratamiento de los trastornos de la conciencia, así como abrir camino a futuras terapias para síntomas como la depresión y la ansiedad.
Investigadores destacan las características únicas de la región para analizar condiciones similares a las del planeta Marte que permita responder interrogantes sobre la existencia de agua y posibles formas de vida.
El titular del Movimiento Plural, quien días atrás lanzó públicamente su candidatura para las elecciones 2027 de la Ciudad de Buenos Aires, propuso un plan de viviendas para quienes vienen a trabajar desde la provincia.
El investigador principal de la Comisión de Energía Atómica denunció que el anuncio del gobierno nacional alcanza incluso a proyectos estratégicos reactor nuclear RA-10 y el CAREM-25.
El presidente del Consejo Interuniversitario (CIN) llamó a participar de la Cuarta Marcha Federal Universitaria y advirtió sobre el impacto del desfinanciamiento en las universidades nacionales.
El rector de la Universidad Nacional de Lanús convocó a participar de la movilización de este martes 12 de mayo en defensa de la educación pública y denunció el desfinanciamiento del sistema universitario.
El gobernador bonaerense participó de un acto en la Universidad Tecnológica Nacional, en Córdoba, y cuestionó con dureza el ajuste del gobierno libertario a las universidades y al sistema científico.
El Secretario de Hacienda de la UBA desmintió al Gobierno sobre los fondos para gastos operativos de los hospitales universitarios y advirtió que la situación pone en riesgo la atención sanitaria y la formación médica.
El senador nacional se reunió con los trabajadores del INTI ante el anuncio de despidos y cierre de más de 900 servicios que el organismo científico brinda al sector productivo.
El director del Instituto Nacional Tecnológico de Chascomús se refirió a la crítica situación del sistema científico argentino durante la gestión de Javier Milei.
El titular del Sindicato Argentino de Farmacéuticos y Bioquímicos (SAFYB), Marcelo Peretta, reivindicó las conquistas del sector e insistió sobre los riesgos para los pacientes por la liberalización del mercado de medicamentos.
El presidente del Consejo Interuniversitario Nacional apuntó contra la intimación del gobierno por los paros en las universidades: "Es perverso transferir la mitad de los recursos e intimar como si nada hubiera pasado".
El exministro de Ciencia y Tecnología dijo que el desmantelamiento del Servicio Meteorológico Nacional “no es ninguna novedad porque Milei dijo que era el topo que venía a destruirlo”.
El secretario general de FATUN cuestionó al Gobierno nacional por el incumplimiento de la ley vigente de financiamiento universitario y dijo que “las universidades están demostrando que se puede trabajar para una Argentina soberana”.
El secretario general de la FEDUN volvió a reclamar el cumplimiento de la ley vigente de Financiamiento Universitario y declaró el apoyo del gremio a la Marcha Federal Universitaria del 12 de mayo.
El Secretario General del Sindicato de Farmacéuticos y Bioquímicos (SAFyB), Marcelo Peretta, celebró el acuerdo paritario del sector y cuestionó el funcionamiento del PAMI, al que calificó como “inviable”.
El presidente del Consejo Interuniversitario Nacional (CIN) advirtió sobre el riesgo de un deterioro irreversible en las universidades si el gobierno sigue incumpliendo el la ley de financiamiento.
Un informe del Observatorio Social, Político y Económico de la Universidad Nacional de Tierra del Fuego (UNTdF) señaló que el 74% de los docentes de universidades tiene trabajos extrauniversitarios.
Un informe del Instituto Argentino de Análisis Fiscal advirtió que el gasto público sobre universidades, jubilaciones, AUH y sector científico podrían seguir cayendo "para sostener la meta del FMI".
Los datos surgen de un informe del Observatorio de Tarifas (IIEP-UBA-Conicet) que registró un aumento de 17,5% en esos gastos frente a abril y del 50% a nivel interanual.
Son datos del primer cuatrimestre de 2026. La recaudación por derechos de exportación cayó 37,5% frente a 2025 por la baja de las retenciones al agro. Favores al campo, mientras incumplen a las universidades.
Según un informe del Grupo EPC los científicos acumulan una pérdida salarial que ya supera el umbral del 40%. Docentes, investigadores y NODOCENTES de universidades nacionales acumulan una caída del 34%.
Un sondeo del Observatorio de Psicología de la UBA indicó que la situación del jefe de Gabinete empeoró la opinión sobre el Presidente entre el 47% de los que apoyaron a La Libertad Avanza en el último balotaje.
Un informe del CEPA señala que en abril 2026 solo los docentes titulares con dedicación exclusiva y los no docentes niveles 1 y 2 superan la línea de pobreza. Hay salarios docentes que ya están en la indigencia.
La Función Ciencia y Tecnología del Presupuesto Nacional acumula un derrumbe histórico del 47,7% desde la asunción de Javier Milei. Las capacidades científicas del país sometidas al terraplanismo ideológico libertario.
La propuesta tiene como objetivo el fortalecimiento del Personal de Administración y Servicios que es clave para el funcionamiento de la labor académica en las universidades.
La Legislatura provincial comenzó a debatir un proyecto para crear el Fondo Provincial de Capital Emprendedor. La iniciativa apunta a impulsar emprendimientos tecnológicos e innovadores con financiamiento y mentoreo.
El FONICS, anunciado por el gobierno bonaerense, complementará al FITBA. Buscan fortalecer la gestión pública y el desarrollo territorial a través de la ciencia y la tecnología.
La posible derogación de la Ley de Etiquetado Frontal, impulsada por el gobierno nacional, volvió a poner en debate la
La ex precandidata a diputada de Lopez Murphy defendió el ajuste al CONICET, elogió al presidente del organismo, pidió restringir el ingreso en las universidades y cuestionó el desprecio de Milei a los científicos: "No sé por qué lo hace".
Durante un encuentro en la Central de los Trabajadores Argentinos (CTA) especialistas del sector satelital y nuclear apuntaron contra el brutal desfinanciamiento del gobierno: "Avasallan la soberanía popular".
El decano de Ingeniería de la Universidad Nacional de La Plata (UNLP) destacó el desarrollo del nanosatélite ATENEA elegido por la NASA entre 60 países. "Es el único de los cuatro que funcionó bien de principio a final", destacó.
La investigadora del EAAF a cargo del equipo que identificó los restos de las 12 personas desaparecidas en el ex Centro Clandestino "La Perla" aseguró que el organismo espera reconocer más restos.
Mario Bonillo emitió una resolución que habilita la continuidad permanente en los máximos cargos de la conducción universitaria. Buscan frenar la decisión en la Justicia y piden suspender las elecciones de este año.
El presidente abrió las sesiones ordinarias 2026 del Congreso y dio un discurso cargado de agresiones a la oposición. En su presentación no hubo ni una mención al sector científico-tecnológico.
La iniciativa ya es furor y convierte a la Patagonia argentina en un laboratorio a cielo abierto. En pleno desfinanciamiento libertario a la ciencia, crece el interés por el trabajo que hacen los investigadores.
Se trata de una transmisión científica abierta y gratuita. Se realiza en Chubut, dentro del Parque Provincial Patagonia Azul. Sigue en vivo la temporada reproductiva de la especie.
A mitad de año la universidad nacional mendocina celebrará elecciones. Javier Ozollo, promete "independencia política y reforma académica" y asegura que la actual gestión de Esther Sánchez mantiene una alianza con Cornejo y con Milei.
Abogados con acceso al expediente detectaron “arbitrariedades” y “parcialidad” contra el Secretario General del SAFyB y "protección" del fiscal, Federico Battilana, y de la jueza, Susana Parada, al periodista.
En la semana que el Gobierno anunció el cierre del programa que lo financió, la transmisión en vivo de la expedición en el cañón submarino Mar del Plata fue reconocida como "la mejor producción audiovisual" y la mejor "Transmisión Especial".
El bioquímico cuestionó el manejo comunicacional y sanitario en la pandemia y defendió la realización del evento antivacunas organizado por una diputada en el Parlamento: "El Congreso tiene que tratar todas las cuestiones".
El gobierno de Javier Milei insiste con su plan de desmantelamiento, trasladó al personal a otras áreas de la institución y se puso en agenda un proyecto de venta de tierras.
La nueva rectora de la Universidad Nacional de Mar del Plata destacó el rol de la educación superior durante su asunción y cuestionó con dureza la política nacional de desfinanciamiento al sector científico y académico.
El desarrollo junto a la startup biotecnológica Crofabiotech es clave para la generación de órganos compatibles para ser transplantados en humanos. Avance sin precedentes a nivel regional.
La Autoridad Regulatoria Nuclear (ARN) otorgó a Nucleoeléctrica Argentina la renovación de la licencia de operación de la Central Nuclear Atucha II hasta el 26 de mayo de 2036.
La iniciativa impulsada junto a AySA se inauguró en 2023. Mediante microorganismos depura 12 mil litros de aguas residuales urbanas, reduciendo scontaminantes y generando materia prima para biofertilizantes.
Bioprofarma Bagó adquirió el 20% de Amplicon Bricks, una startup dedicada a la biología sintética que utiliza fragmentos de ADN y puede ser clave para escalar kits de diagnóstico, vacunas y terapias génicas para salud animal y vegetal.
La referente gremial de la Asamblea Multisectorial del INTI dijo que el vaciamiento del organismo “va más allá de entregarle negocios a laboratorios amigos, sino que es parte del industricidio” libertario.
Uno de los científicos argentinos con más trayectoria en el estudio del Hantavirus a nivel mundial aseguró que el brote del Buque Hondius "marcará un antes y un después en el estudio de la enfermedad".
La rectora de la Universidad Nacional del Comahue se refirió a la masiva manifestación social de este martes a favor de las universidades y pidió que la Corte Suprema "no nos deje indefensos".
La eliminación de controles del organismo científico y el recorte presupuestario "van a contramano de la tendencia mundial" que refuerza las normas técnicas, advirtió el ex presidente de la Agencia I+D+i, Fernando Peirano.
La rectora de la Universidad Nacional del Litoral se sumó al reclamo para que el gobierno nacional aplique la ley vigente de Financiamiento Universitario. "Es un agente muy potente de transformación", dijo.
El investigador y ex titular del Instituto de Investigaciones Científicas y Tecnológicas para la Defensa (CITEDEF), Pablo Bolcatto, se refirió
El ex presidente del CIN celebró la medida judicial que obliga al Gobierno a cumplir la ley vigente de Financiamiento Universitario y alertó por los salarios de docentes y NODOCENTES de universidades "bajo la línea de pobreza".
La directora de la fundación INVAP, detalló cómo Emprendé ConCiencia impulsa emprendimientos científicos en el país y destacó el rol de la empresa de alta tecnología de la provincia de Rio Negro.
El rector de la Universidad Nacional de Hurlingham defendió el proyecto vigente de financiamiento universitario y desmintió las operaciones de prensa sobre un supuesto apoyo de rectores al proyecto del Gobierno.
La rectora de la Universidad Nacional del Comahue cuestionó el proyecto de financiamiento universitario libertario y señaló que existe una ley vigente que el gobierno ignora mientras el atraso salarial ya alcanza el 50%.
La decana de la Facultad de Tecnología y Ciencias Aplicadas de la Universidad Nacional de Catamarca destacó el crecimiento de la matrícula y defendió el rol de la educación pública en medio del debate por la desfinanciación universitaria.
La rectora de la Universidad Nacional de la Patagonia Austral (UNPA) advirtió que el presupuesto de las casas de estudios superiores no alcanza para garantizar su funcionamiento.
El ex ministro de Ciencia cuestionó la parálisis de los principales proyectos científico-tecnológicos del país, la fuga de cerebros y la histórica desinversión en el sector científico que impulsa el gobierno de Javier Milei.
El físico e investigador de la Comisión Nacional de Energía Atómica habló del riesgo para el sector productivo y científico si el gobierno de Javier Milei avanza con la privatización de Nucleoeléctrica Argentina.
La secretaria general de la federación de docentes universitarios CONADU se refirió al ajuste del Gobierno sobre el sistema académico tras la aprobación del Presupuesto 2026.
El SEGEMAR lo acordó con la Unión Europea. Estudiarán las regiones del continente que poseen potencial de explotación minera en litio, tierras raras, cobre, níquel, manganeso, grafito, cobalto, silicio y platino.
La presidenta de México presentó una iniciativa para mantenerlos conectados con universidades y centros de investigación nacionales, incluso desde fuera del país, en un contexto de desempleo y baja inversión en el sector.
Mientras recientes brotes de hantavirus y ébola vuelven a poner a prueba los sistemas de salud, un nuevo reporte global alertó sobre la fragilidad del escenario actual por la falta de inversión en salud.
Lula inauguró cuatro nuevas líneas de luz sincrotrón que mejorará la capacidad investigativa brasileña en sectores estratégicos como salud, energía, agricultura, nanotecnología, clima y nuevos materiales.