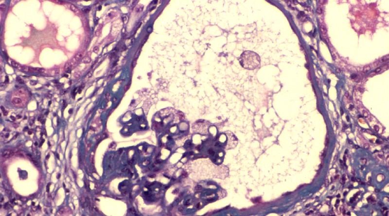
Se aprobó en el país el primer fármaco biosimilar de la región para la enfermedad de Fabry
Resultados de ensayos preclínicos y clínicos realizados en el país mostraron que cumple con los estándares internacionales. Expertos dijeron que facilita una mayor cobertura para los pacientes con este mal genético
Leer más