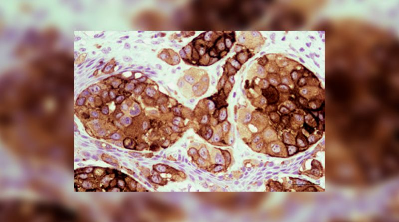
Conicet: Científicos avanzan en contrarrestar la resistencia a un tratamiento de melanoma
Un anticuerpo monoclonal que desarrollaron podría bloquear la proteína Galactina 1 (Gal-1), que cumple un rol clave en la resistencia frente a un tratamiento innovador (bevacizumab) de personas con melanoma.
Leer más 
				